Recent studies have confirmed that coronavirus disease 2019 (COVID-19) is characterized by CT findings that relate to common features found in other pneumonia-causing viruses. However, radiologists in the United States and China have shown that they are prepared to identify the differences between coronavirus disease from these other viruses in a new study, published on March 10th in Radiology.
Now classified as a pandemic by the World Health Organization, the testing methods to confirm cases of coronavirus disease 2019 have remained the same. Nucleic acid testing with reverse polymerase chain reaction (RT-PCR) continues to be the primary method; nonetheless, it is limited by its extended processing time and low sensitivity for early detection of the virus. Recently conducted studies have revealed that chest CT is far more sensitive than RT-PCR at detecting COVID-19 in its early stages. But, this method has been found to have low specificity, which suggests that CT has the potential to bolster DNA testing.
"This low specificity


In the study, Dr. Bai and colleagues tested radiologists’ ability to differentiate COVID-19 from other viruses on CT. The radiologists were not informed of the patients’ RT-PCR results or any additional clinical information.
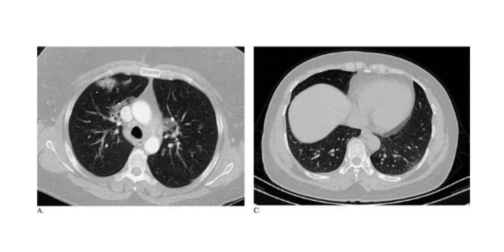
Three radiologists from China examined CT chest scans from 424 patients with pneumonia caused by either COVID-2019 or another virus. The radiologists displayed a fairly high level of accuracy and specificity and moderate sensitivity for detecting the coronavirus. Subsequently, the investigators chose a random subset of 58 age-specific cases which were examined by the three radiologists from China and four additional radiologists from the United States.
The radiologists proved relatively capable of differentiating COVID-19 from the other commonly found viral pneumonia on chest CT. They had an average accuracy of 82.1%, specificity of 83.7%, and sensitivity of 80.4%.
Although there is minimal training specific to diagnosing coronavirus disease 2019, the study noted how the radiologists proved their capability of distinguishing the pandemic virus from other etiology of pneumonia with high specificity.
"This suggests that there is potential that if the differential diagnosis is between COVID-19 and non-COVID-19 pneumonia, a negative diagnosis of COVID-19 by radiologists on chest CT may be good enough to exclude patients from having the disease with fairly good certainty," the investigators wrote.
Furthermore, the investigators also noted multiple CT patterns that were found to be much more common in patients with coronavirus disease 2019 than in those without it. These patterns were ground-glass opacity, peripheral distribution, vascular thickening, fine reticular opacity, and reverse halo sign.
"It is recommended that individuals with signs of pneumonia on chest CT be quarantined while RT-PCR testing is performed in conjunction with a thorough medical evaluation including travel history and disease contacts in order to make an accurate COVID-19 diagnosis and prevent disease spread," the research team concluded.
As the coronavirus pandemic spreads, it is important for healthcare facilities to maintain a high level of disinfection protocols to prevent transmission of COVID-19. EDM provides a variety of disinfection and hygiene supplies for medical practices of all sizes, including clinics, private practices, and hospitals. We also offer the Parker Protex disinfectant spray, which has been found to be effective against COVID-19. Click here to learn why medical experts are warning against making your own DIY hand sanitizer solution.





